By William E. Battle, M.D., FACP, FACC
Heart Diseases in Heart
Heart disease is very prevalent in Haiti. The most common condition seen is congestive heart failure. The etiologies are multiple. Peripartum cardiomyopathy is very prevalent in that country. The frequency of this condition is as high as that noted in some West African countries. Valvular heart disease is very common in Haiti. The most common cause of valvular heart disease in Haiti is Rheumatic Heart Disease.
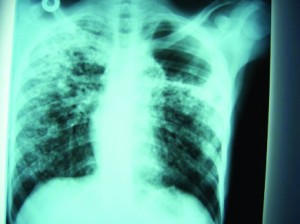
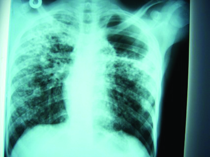
Pericardial disease is also extremely common. The most common etiology of pericardial disease in Haiti is infectious. Tuberculosis is endemic in this population. The complication of pericardial effusion in patients with active tuberculosis is seen fairly frequently. Cardiac imaging with cardiac ultrasound is essential in the diagnostic evaluation of these patients.
Although the diagnosis of heart failure can be made as easily at the bedside, it is impossible to separate heart failure with preserved left ventricular function from heart failure with decreased ventricular function without ultrasound imaging. These conditions are treated quite differently. The severity and the type of valvular heart disease cannot be assessed without the use of cardiac ultrasound. Finally, the diagnosis of pericardial effusion, including its severity, depends on cardiac ultrasound imaging.
Cardiac Imaging with Cardiac Ultrasound
In February of 2009, following the completion of my second trip to HSC in Milot, it became apparent that we very much needed cardiac ultrasound in providing up-to-date care for our patients with heart disease. Having had a fair amount of experience as a director of a cardiac ultrasound laboratory and subsequently as a consultant for the cardiac ultrasound laboratories at the National Heart Lung and Blood Institute and Georgetown University Medical Center, I felt it would be appropriate for me to write up a brief request for funding for an instrument. Because of the nature of the hospital environment and difficulties in shipping and receiving in Cap Haitian, Haiti, we felt it essential that this device be a portable device that could easily be brought to the hospital by one of us. Shipping to Haiti has not always been satisfactory. There are three manufacturers in the USA that make devices that would have been suitable for our needs. Three small grant requests were written up for the three instruments suitable for our needs including the cost of shipping these instruments. These documents were submitted to the CRUDEM board for distribution. In November of 2009 Philips Medical awarded us a state of the art instrument. We brought it down the third week in February of this year.
In our proposal to Philips, we had indicated that this program would include the use of this instrument not only by cardiology consultants visiting the hospital but also the team would include ultrasound technologist to assist and train a technologist designee of the medical director at HSC. The aim of this would be to establish a program that would allow the hospital staff to become self-sufficient in using this rather standard piece of diagnostic equipment.
Optimistically, we envisioned a different team visiting the hospital on a monthly basis. They would provide cardiovascular consultations including cardiac ultrasound as one of the diagnostic tools, training and instruction of the technologist designee, and teaching conferences for the hospital staff in the use of this diagnostic tool.
At that time, we had only four cardiology volunteers who made regular visits to HSC. One of our volunteers, Mark Callahan, M.D. is from the Mayo Clinic. With Mark’s help, Dr. Fletcher Miller (the lab director) and his colleagues in the cardiac ultrasound laboratory at the Clinic gave us a very complete audio-visual teaching library for our use at HSC.
Clearly, we needed more cardiologists if we were to propose a training and teaching program that would be more comprehensive extending throughout the year.
It seemed plausible at first to rely on each cardiologist to recruit a technologist to accompany him on a trip to HSC to accomplish this mission.
After personal difficulties in recruiting a technologist volunteer to accompany me last February, it became apparent that we would likely need an alternative source of recruitment to accomplish our goal. In June of this year, I contacted the advocacy desk at the American Society of Echocardiography. We received a very enthusiastic response and were asked to write up a brief description of the mission. This appeared the following week in the electronic newsletter sent out by that organization to their members. The technologist membership of that organization is quite robust. But there are also many of us physicians who belong as well. The response to this notice was quite gratifying. We were contacted by over two dozen ultrasound technologists. Most of these respondents were of advanced skill level. A half dozen physicians also expressed interest in participating in this program. We were now much better positioned to construct a program.
Cardiovascular medicine has experienced significant reduction in reimbursement since January 2010. This reduction was actually planned in March of 2009 by CMS. We have all expected this. After discussing travel expenses with some of our volunteer colleagues, it was my strong feeling not to ask our cardiology volunteers to support travel expenses for the technologist.
Therefore, we have to seek funding for transportation and “layover” housing for our technologists who will be making the trip to HSC with us. We have obtained a small amount of funding thus far. We did not want to wait until fully funded before launching the program. Therefore, we currently have a team there this month [August] and have scheduled for September, October, and November.
We have sent inquiries regarding interest in funding to representatives of the industry involved in the manufacture of ultrasound devices. We have had no response yet. We are hopeful by the end of the third quarter this year; we will have funding available for the first twelve months of the program. We certainly want to continue the program beyond that.
Dr. Battle is Clinical Professor, Dept. of Medicine, at Georgetown University School of Medicine. He is widely published in the field of echocardiography and has served as Senior Medical Consultant for numerous firms, including Pharma Services (US), PPD Medical Device, Inc. and CL McIntosh, a subsidiary of Celeris Corporation. Dr. Battle received his M.D. from Emory University School of Medicine.

